
Quand l'oeil et la peau croisent leurs regards !
Pour ce nouveau numéro de la Revue des Jeunes Dermatologues, nous vous proposons cette observation qui inaugure d'autres articles futurs, de cet entre deux mondes…
celui de l'oeil et celui de la peau.
Cette rencontre n'est pas sans rappeler lorsque Léonard de Vinci, fasciné autant par l'anatomie de la peau que par la complexité de l'oeil, décrivait le visage humain comme « la carte où l'âme laisse ses empreintes ». Cinq siècles plus tard, c'est dans nos consultations mixtes dermato-ophtalmologiques que ces deux univers se rejoignent pour décrypter ce que la peau cache aux regards pressés.
Dans notre service, nous avons mis en place il y a 15 ans une consultation conjointe dermato-ophtalmologique, enrichie par l'imagerie appliquée à la dermatologie, qui nous permet de prendre en charge les lésions situées dans des zones aussi esthétiques que fonctionnellement sensibles qui constituent l'appareil oculaire antérieur.
Mme B., 77 ans, était adressée pour une lésion palpébrale gauche évoluant lentement depuis plusieurs mois. Elle présentait une lésion nodulaire rosée, mesurant environ 6 mm de diamètre. Son médecin traitant évoquait une kératose séborrhéique, compte tenu de la lenteur d'évolution et de l'absence de symptôme clinique (Figure 1A). Cependant, son dermatologue libéral avait préféré nous la confi er pour avis.
Lors de la consultation mixte, l'examen en la lampe à fente révélait une lésion avec un semi de pigmentations grisâtres en son centre. En dermatoscopie, la lésion présentait une structure homogène jaunâtre, une micro-ulcération bhémorragique à 3h (cercle jaune), un empoussiérage micro-granuleux (cercle bleu) en son centre compatible avec des nids ovoïdes et quelques vaisseaux en arborescence dilatés (flèches rouges). Un tableau compatible mais non typique de CBC (Figure 1B).

Figure 1A : Image macroscopique de la lésion au niveau de la paupière supiérieure. Figure 1B : Dermoscopie x20 avec l'appareil, FotoFinder®(FotoFinder, Birnabach, Allemagne).
La dermoscopie super-magnifiée x400 (FotoFinder®, Birnabach, Allemagne) révèle des détails subtils : nids basaloïdes discrets (cercle bleu) (Figure 2A) et quelques cellules dendritiques hyperréfléchissantes (flèches vertes) (Figure 2B).

Figure 2A : Dermoscopie x400 avec de nids basaloïdes (cercle bleu). Figure 2B : Dermoscopie x400 avec cellules dendritiques hyperréfléchissantes (flèches vertes).
La microscopie confocale (Vivascope® 3000, Caliber Rochester, NY USA) confirmait formellement le diagnostic de carcinome baso-cellulaire en montrant un épiderme régulier en nid d'abeille (Figure 3A), des amas cellulaires hypo-reflétants basaloïdes (cercles verts) à disposition palissadique cernés par des arcs sombres (clefting, flèches rouges) et des vaisseaux horizontaux dilatés (Figure 3B).

Figure 3A : Image d'un épiderme normal régulier avec un patron en nid d'abeille. Figure 3B : Image avec amas cellulaires hypo-reflétants basaloïdes (cercles vertes), des arcs sombres (clefting, flèches rouges).
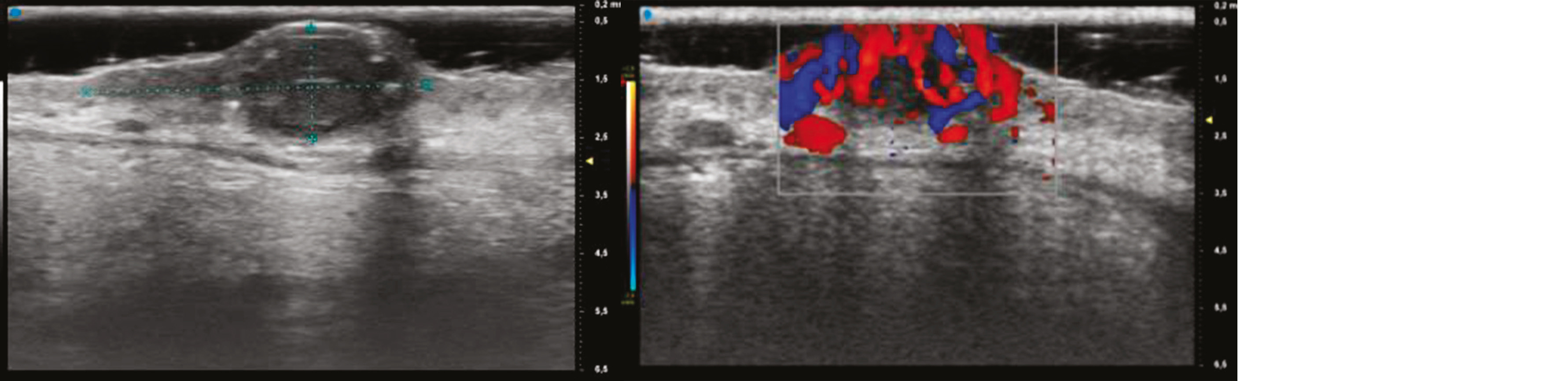
Enfin, une échographie ultra-haute fréquence (Vevo MD®) metait en évidence une lésion hypoéchogène de 1,94 mm d'épaisseur avec en mode couleur une hypervascularisation.

La localisation palpébrale impose une approche sur-mesure, tenant compte des enjeux esthétiques et fonctionnels. La collaboration avec l'ophtalmologie a permis d'évaluer la mobilité palpébrale, l'atteinte ciliaire et la proximité du canal lacrymal avant d'orienter la patiente vers une chirurgie adaptée. Ce cas souligne l'intérêt des techniques d'imagerie modernes pour lever les ambiguïtés diagnostiques en zones sensibles et met en lumière la richesse des consultations mixtes pluridisciplinaires, qui permettent un diagnostic plus rapide et une prise en charge optimale. On retrouve ce challenge avec la région génitale, mais on en traitera dans le prochain numéro de la RJD.

C. DORADO CORTEZ
Dermato-Oncologie-Allergologie,
CHU NORD,
Saint-Etienne, France

J.-L. PERROT
Dermato-Oncologie-Allergologie,
CHU NORD,
Saint-Etienne, France
A. GEREST
Dermato-Oncologie-Allergologie,
CHU NORD,
Saint-Etienne, France

