
Cas clinique n°1 (à partir du concours du cas clinique le plus trompeur)
Louis MARCHON
CHU Angers
Anamnèse : Homme de 69 ans présentant une lésion de la paupière supérieure droite depuis plus de 6 mois.
Antécédents : Cirrhose, HTA.
Traitements : AVLOCARDYL, LASILIX.
Cliniquement : Présence d'une ulcération bourgeonnante de 1.5 cm, adhérente à l'arcade sourcilière, aux bords rétractés.
Histologie réalisée un mois auparavant retrouvant un aspect de bourgeon charnu ré-épidermisé. Absence de prolifération tumorale.

Quel est votre diagnostic ?
Cas clinique n°2 (à partir du concours du cas clinique le plus trompeur)
OEdèmes et nodules inflammatoires, de multiples hypothèses diagnostiques...
Roxane REVIRON
Dr Junior (8ème semestre), Centre Hospitalier Emile Durkheim, Epinal
Anamnèse : Patient d'une trentaine d'années, aux antécédents médicaux de trisomie 21 et d'hypothyroïdie supplémentée, consulte pour des oedèmes érythémato-violacés des deux mains ainsi que de multiples nodules violacés péri-articulaires et des faces d'extension des quatre membres évoluant depuis environ 9 mois.
Cliniquement : Le dos des mains présente un érythème violacé avec une peau fine et luisante. L'oedème est mou, sans signe du Godet (Figure 1A). Les nodules violacés sont fibreux, indolores et mobiles (Figure 1B). L'état général est conservé sans arthralgie ni adénopathie périphérique associées.

Figure 1 : oedème érythémato violacé du dos des mains ne prenant pas le godet (1.A). Nodules fibreux du coude et de l'avant bras droit (1.B)
Quelles sont votre/vos hypothèse(s) diagnostiques ?
Cas clinique n°3 (à partir du concours du cas clinique le plus trompeur)
Une inflammation mammaire pleine de surprise
BRETELLE Maëlys
6ème semestre, Hôpital Saint Louis
Mme M, âgée de 34 ans
ATCD personnel
• Hidradénite suppurée Hurley I
• G1P1
• IMC : 34,7
• Suspicion d'allergie aux AINS
Traitements reçus
• Antibiothérapie par Augmentin et Flagyl (sans efficacité).
• Cortancyl jusqu'à 0,4 mg/kg/j : efficace mais récidive dès l'arrêt.
Contexte clinique
Apparition brutale en septembre 2023 de nodules inflammatoires du sein droit avec fistulisation spontanée puis bilatéralisation des nodules et formation d'abcès (Figures 1).

Figure 1 : A. Nodules sous-cutanés douloureux du sein droit avec présence de fistules cutanés dans le quadrant supéro-externe. B. Abcès du sein gauche des quadrants externes débordant sur la plaque aérolo-mamelonaire
Examens complémentaires réalisés
• Bilan biologique : Syndrome inflammatoire biologique avec CRP 48 mg/L, leucocytes 23,8 G/L, PNN 21,6 G/L. Prolactine, ECA et calcémie normales.
• Prélèvement bactériologique : Positif à Corynebacterium kroppenstedtii.
• Prélèvement mycologique et mycobactériologique : Négatifs.
• IRM mammaire : Mastite inflammatoire bilatérale prédominante à droite avec multiples collections. Adénopathies axillaires bilatérales.
• Échographie mammaire : Nodules en voie d'abcédation.
Quelle(s) est(sont) votre(vos) hypothèse(s) diagnostique(s) ?
Réponses cas cliniques
Réponses cas cliniques n°1
Mucocèle frontale fistulisée
Tumeur bénigne des sinus causée par une obstruction chronique de l'ostium. Développée le plus souvent au niveau des sinus frontaux et ethmoïdaux, pouvant, rarement, se fistuliser à la peau via l'érosion osseuse provoqué par la pression et l'inflammation locale.
Aspect clinique trompeur pouvant faire évoquer un carcinome.
La présence d'un écoulement et d'une adhérence au plan profond peut orienter vers le diagnostic. Cette lésion se développe de l'intérieur vers l'extérieur, expliquant l'aspect adhérent au plan osseux sous-jacent et les bords rétractés. Le traitement est chirurgical (ORL) et consiste en une décompression endoscopique et un drainage. Une lésion fixée à l'os peut témoigner d'un envahissement de la peau vers la profondeur, ou plus rarement comme dans notre cas de la fistulisation vers la peau d'une lésion sous-jacente. L'examen clef est alors le scanner et non la biopsie cutanée.
Réponse cas clinique n°2
Acrodermatite chronique atrophiante
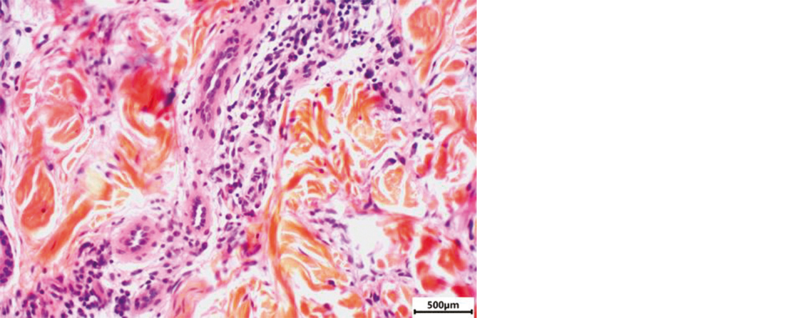
Les examens complémentaires montraient une enzyme de conversion de l'angiotensine élevée 111,6 U/L (N 10 à 80), un facteur rhumatoïde, des anticorps anti-CCP négatifs et un quantiféron négatif. La sérologie Borrelia burgdorferi sensu lato était positive en IgG avec un titre élevé à supérieur de 540 UA/ml ainsi qu'un Western Blot positif. La PCR lyme sur biopsie cutanée était négative. Les scanner thoraco-abdomino-pelvien et PET scanner réalisés étaient normaux. L'analyse anatomopathologique d'un nodule fibreux du bras montrait un infiltrat interstitiel et périvasculaire lymphoplasmocytaire et des plages de fibrose en profondeur (Figure 2).

Figure 2 : Biopsie d'un nodule fibreux du bras retrouvant un infiltrat interstitiel périvasculaire lympho-plasmocytaire ainsi que des plages de fibrose en profondeur
Nous avons donc retenu le diagnostic d'acrodermatite chronique atrophiante en phase inflammatoire avec oedèmes majeurs des mains et nodules fibreux multiples. L'évolution a été favorable après un traitement par Doxycycline relayée par Ceftriaxone devant la taille importante des nodules.
D'autres diagnostics auraient pu être évoqués dans ce contexte comme une sarcoïdose, des nodules rhumatoïdes ou encore une atteinte tumorale nodulaire (lymphome…).
Réponse cas clinique n°2
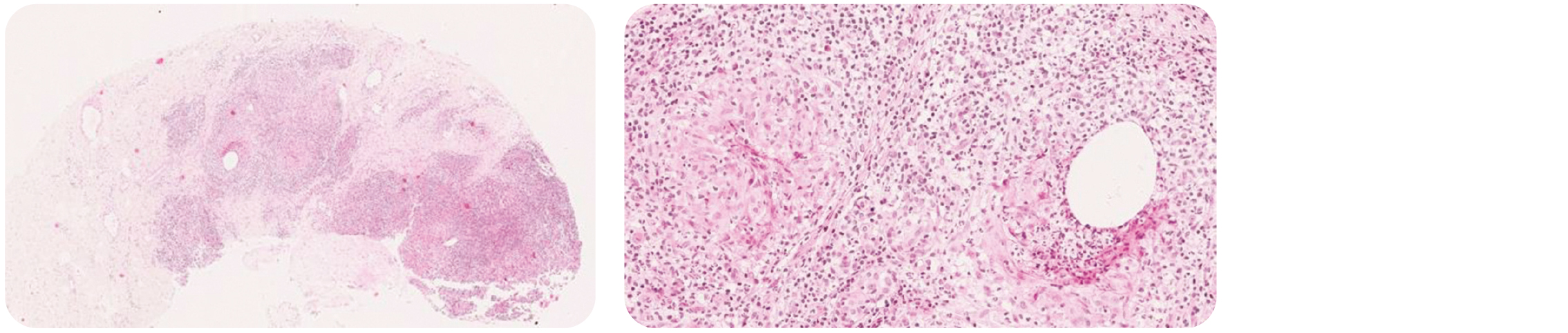
Une biopsie mammaire a été réalisée retrouvant un aspect de mastite granulomateuse kystique neutrophilique (Figures 2).

Figures 2 : A. Granulomes lobulo-centriques sans nécrose accompagnés d'un infiltrat inflammatoire dense (grossissement x4). B. Granulomes épithélioïdes associés à de nombreux polynucléaires neutrophiles autour d'un micro-kyste (grossissement x25p)
Le diagnostic retenu est celui d'une mastite granulomateuse idiopathique. Il s'agit d'une maladie rare du sein atteignant majoritairement les patientes de 20 à 40 ans.
Les diagnostics différentiels à évoquer sont :
• Un carcinome mammaire inflammatoire ;
• Une maladie de Verneuil mammaire ;
• Une mastite granulomateuse infectieuse (tuberculose…) ;
• Une mastite granulomateuse d'origine inflammatoire (sarcoïdosique, vascularite…) ;
• Une mastite plasmocytaire. La clinique, l'histologie et les examens complémentaires permettent d'écarter ces diagnostics.
Le traitement consiste en la prise d' anti-inflammatoires (Wolfrum A, Breast Care, 2018 Dec). L'origine infectieuse est discutée en raison de C. kroppenstedtii parfois retrouvé dans les biopsies (Taylor GB, Pathology, avr 2003).
Relecture générale par Claire LESPORT et Kim BERNARD

