
L'endométriose est une maladie fréquente (10 % des femmes) encore sous diagnostiquée avec un retard diagnostique moyen de 7 ans. Cette pathologie présente un retentissement majeur personnel mais également sur le couple avec une sexualité altérée, une baisse de la fertilité et un absentéisme au travail.
Au cours de ces dernières années, les demandes d'imagerie pelvienne à la recherche d'endométriose ont fortement augmenté. Le radiologue a une place centrale dans la prise en charge car il doit répondre aux enjeux cliniques d'une part en détectant et caractérisant les lésions d'endométrioses et d'autre part répondre aux enjeux thérapeutiques en localisant précisément les lésions pour orienter une éventuelle chirurgie.
Pour rappel, l'endométriose correspond à du tissu endométrial (glande et chorion cytogène de soutien) ectopique et il en existe 3 grands types (annexielle, profonde et superficielle) dont nous allons détailler les différents aspects à l'imagerie à travers l'échographie et l'IRM.
Endométriose annexielle (Ovaire supérieur à Trompe)
L'endométriose annexielle correspond le plus souvent à un implant endométriosique qui vient s'invaginer dans l'ovaire (on parlera ensuite d'endométriome si cette atteinte devient supérieur à 1cm) donnant un aspect de kyste qui saigne de façon répétée au cours des cycles.
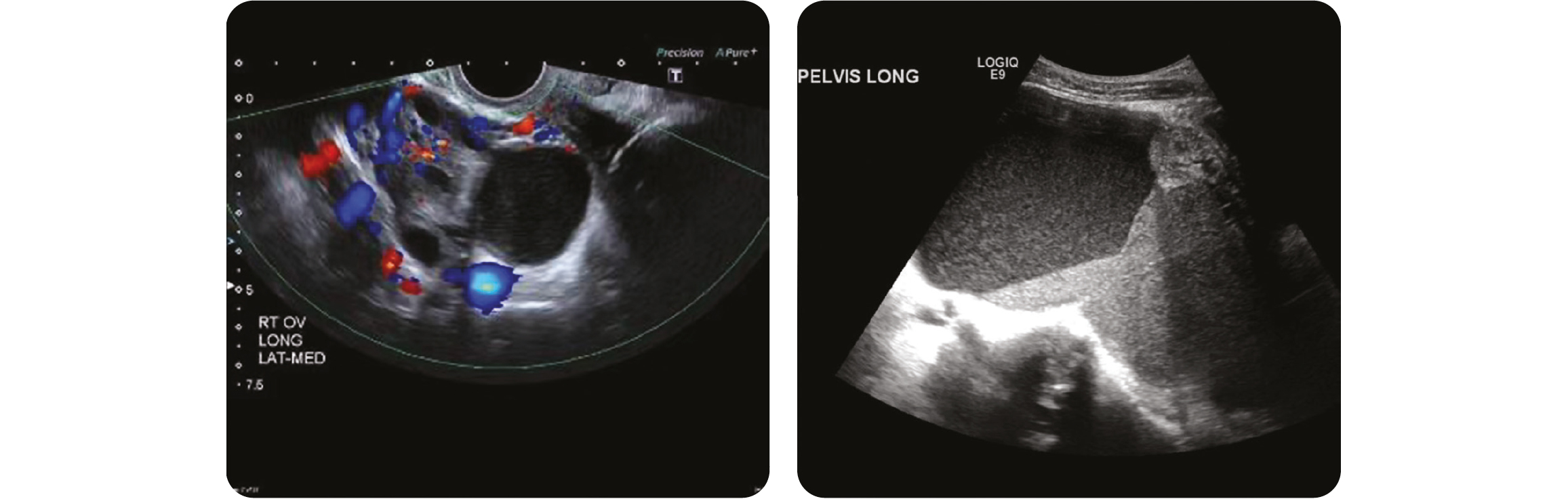
L'aspect d'endométriome a une présentation typique en échographie. On retrouve une formation kystique homogène hypoéchogène avec un fin picté échogène, sans paroi propre, amorphe et avasculaire siège parfois de caillot hyperéchogène curviligne déclive.

Source : Radiopedia

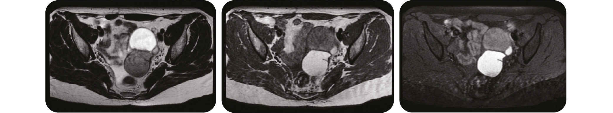
De gauche à droite : Axiale T2 / Axiale T1 / Axiale T1 FatSat => Comparer le signal entre un kyste liquidien en hypersignal T2 au-dessus de l'endométriome en hyposignal T2 et hypersignalT1 en dessous. (Source : Radiopedia)
Devant un aspect typique d'endométriome à l'échographie, l'IRM a les mêmes performances diagnostiques. Celle-ci a un rôle en cas d'atypie, afi n d'éliminer certains diagnostics diff érentiels (kyste fonctionnel hémorragique, kyste dermoïde ou abcès) ou encore en cas de doute sur une transformation maligne (augmentation rapide en taille de l'endométriome, doute sur la présence d'une composante tissulaire).
Le signal IRM classique de l'endométriome est hypersignal T1 franc (supérieur à graisse), hypersignal T1 persistant sur les séquences après saturation de graisse et en hyposignal T2 (dans 95 % des cas, signal T2 assez caractéristique appelé « shadding »).
L'atteinte tubaire est moins fréquente mais souvent associée à l'atteinte ovarienne. Elle est à l'origine d'hématosalpinx responsable d'une dilatation tubaire de contenu hémorragique en hyperT1, de même sémiologie radiologique que l'endométriome.
Endométriose profonde
L'endométriose profonde survient lorsque l'implant d'endomètre traverse le péritoine et infi ltre les structures adjacentes péritonéales ou sous-péritonéales. Il s'agit d'une lésion associant une composante glandulaire, du stroma endométrial et une hyperplasie fi bro-musculaire réactionnelle.

Pour analyser les performances diagnostiques de l'échographie et de l'IRM dans l'endométriose profonde, il convient de distinguer deux localisations principales : centrale et latérale, et de défi nir 9 quadrants (cf. tableau ci-dessous) :

Extra-pelvien
- Caecum – iléon – appendice
- Côlon sigmoïde
- Paroi abdominale
- Régions inguinales
- Urètres au niveau de l'artère iliaque commune
La localisation centrale s'explore très bien en échographie tout comme l'IRM, il est recommandé d'utiliser le couple IRM et l'échographie.
Pour la zone médio-centrale on utilise le « modèle 2/3 » du fait de nombreux faux positifs (environ 23 % selon les études). On retiendra le diagnostic d'endométriose profonde si parmi la clinique, l'échographie pelvienne ou l'IRM, deux de ces trois modalités sont évocatrices.
Les localisations latérales, extra-pelviennes et atypiques (coupole diaphragmatique, cicatrice de césarienne…) doivent être explorées en IRM, examen de référence, qui présente des performances diagnostiques nettement meilleures à l'échographie.
À noter que l'endométriose profonde se localise préférentiellement sur le torus et les ligaments utéro-sacrés puis le recto-sigmoide et plus rarement en regard du vagin et de la vessie.
L'aspect radiologique de l'endométriose profonde est directement corrélé à sa composante glandulaire associé à l'hyperplasie fibro-musculaire réactionnelle (Classification proposée par le Dr Charlier ci-dessous).

Endométriose superficielle
L'endométriose superficielle correspond à des pétéchies endométriales d'aspect polymorphes à la surface du péritoine. Le rôle du radiologue est limité, il consiste à prévenir le chirurgien si l'imagerie (IRM) est en faveur d'un pelvis adhérentiel ou s'il existe des anomalies associées comme de l'adénomyose interne ou des malformations. C'est la coelioscopie l'examen de référence.
Conclusion
Les enjeux diagnostiques de l'endométriose sont majeurs et le radiologue a toute sa place dans le diagnostic et la prise en charge. L'endométriose annexielle se voit dans sa forme typique à l'échographie, l'endométriose profonde se détecte le plus souvent grâce au couple IRM-échographie. L'apport du radiologue est limité dans l'endométriose superficielle.
Enfin, il est important de rappeler que le diagnostic radiologique n'est pas si simple surtout pour l'endométriose profonde et qu'il convient d'adresser les patientes dans des filières régionales dédiées travaillant avec des radiologues spécialistes de l'endométriose.
Bibliographie
1. https://elearning.radiologie.fr/mod/url/view.php?id=4909
2. Journées Françaises de Radiologie 2016 et 2024.
3. https://lamediatheque.radiologie.fr/mediatheque/media.aspx?mediaId=438282&playlistId=438278&channel=3277
4. https://www.has-sante.fr/upload/docs/application/pdf/2024-06/reco492_label_endometriose_imagerie_cadrage_coi_2024_06_12_vd.pdf
5. https://www.has-sante.fr/upload/docs/application/pdf/2025-05/reco492_label_endometriose_imagerie_recommandations_ca.pdf
6. https://radiopaedia.org/articles/endometrioma

Marc DE BANTEL
Interne en 6ème semestre
Radiologie
Paris

Dr Célia CHARLIER
Chef de clinique
Radiologie
Hôpital Armand Trousseau

