
Douleur d'épaule sur omarthrose
Devant une douleur d'épaule, votre examen clinique doit dans un premier temps évaluer les amplitudes articulaires en abduction, élévation antérieure, rotation externe et rotation interne.
Si celle-ci sont limitées en actif et en passif, vous vous orientez vers deux étiologies : la capsulite rétractile ou l'omarthrose.
Chez le sujet âgé par argument de fréquence, l'arthrose d'épaule sera le diagnostic le plus fréquent : on parlera alors souvent d'omarthrose ou arthrose de l'articulation gléno-humérale. Pour confirmer votre diagnostic vous demandez une radiographie d'épaule de face, de profil et en rotations neutre-interne-externe.
Dans le cas d'une capsulite rétractile cette radiographie sera sans anomalie, tandis que dans une omarthrose on retrouvera les signes de condensation de l'os sous-chondral, goutte ostéophytique, pincement gléno-huméral, géodes sous-chondrales. On décrit alors deux types d'omarthroses : centrée (ou primitive) et excentrée (ou secondaire) s'il existe une ascension de la tête humérale, une diminution de l'espace sous-acromial et une rupture du cintre gléno-huméral... Cette dernière est plus fréquente et est secondaire à une rupture de la coiffe des rotateurs.
La prévalence de l'omarthrose est de 16.1 % chez les plus de 65 ans et est bilatérale chez 47.7 % des plus de 65 ans souffrant d'omarthrose primaire. L'enraidissement de l'articulation va être responsable de limitation d'activités avec un impact sur l'autonomie dans les actes de la vie quotidienne et responsable de restrictions de participation.
Quels sont les traitements à proposer au patient en première intention ?
Traitement non pharmacologique
Kinésithérapie
- Travail de gain d'amplitude articulaire global.
- Travail de recentrage de la tête humérale parco-contraction grand-pectoral-grand dorsal.
- Assouplissement de la ceinture cervico-scapulaire.
Renforcement musculaire des muscles deltoïdes, scapulo-thoraciques et fixateurs de la scapula. - Travail proprioceptif.
- Travail aérobie.
◆ Ergothérapie (en milieu hospitalier) : travail fonctionnel des membres supérieurs en gain d'amplitudes articulaires et gain de force musculaire.
Traitement pharmacologique
- Paracétamol 1g si douleur.
- En cas de poussée : possibilité de proposer une cure courte d'AINS type NAPROXENE 550mg avec IPP si le patient ne présente pas de contre-indications.
En cas d'échec sur le plan de la douleur de ces mesures initiales, vous pouvez alors prendre avis auprès d'un rhumatologue ou d'un MPR ost.oarticulaire afin de discuter de l'indication une prise en charge infiltrative de corticoïdes.
Il vous sera demandé si le patient présente des antécédents cardiovasculaires ou de diabète pouvant être déséquilibrés par les corticoïdes.
Et en cas d'échec du traitement infiltratif, un avis chirurgical peut être pris pour discuter de la balance bénéfice/risque à la pose d'une prothèse d'épaule (prothèse inversée en cas d'omarthrose excentrée avec atteinte de la coiffe des rotateurs, prothèse totale anatomique en cas d'intégrité de la coiffe des rotateurs).

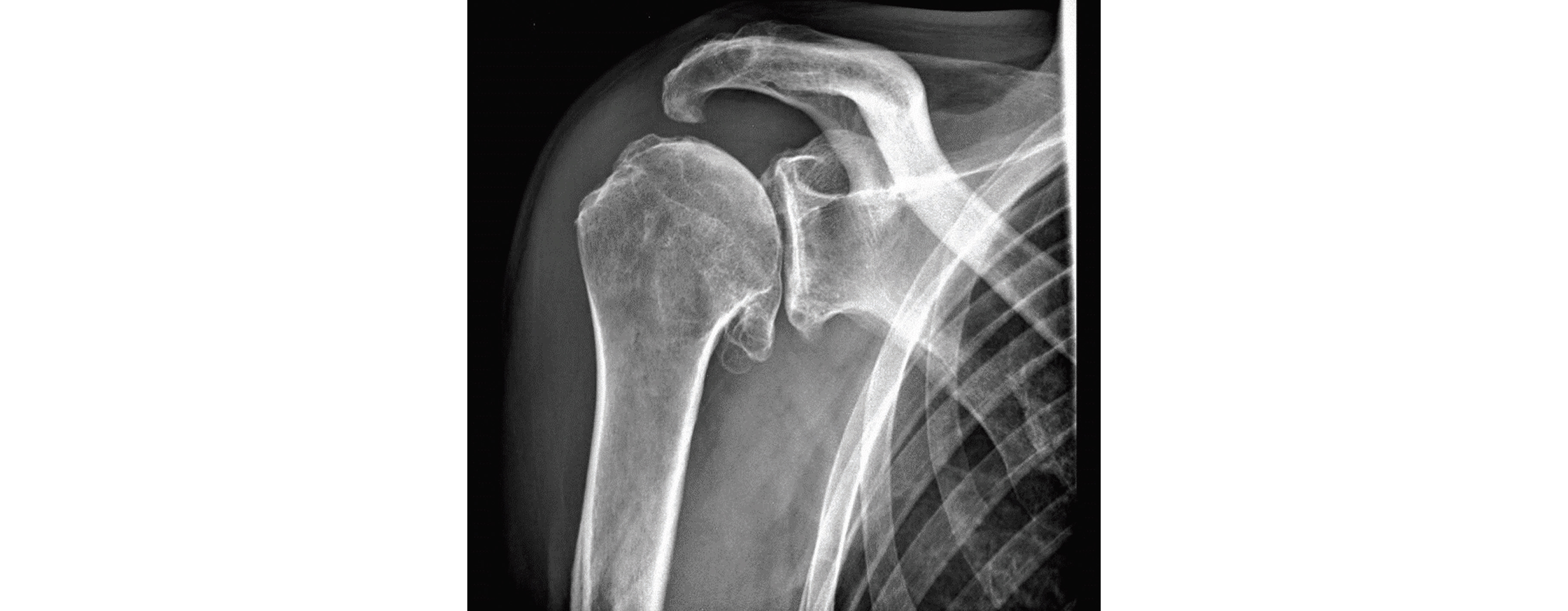
Omarthrose chez un patient de 79 ans avec pincement articulaire, ostéophytose
et goutte ostéophytique inférieure, bec acromial
Gonalgie sur gonarthrose
La gonarthrose peut toucher un ou plusieurs compartiments (fémoro-patellaire, fémoro-tibial médial ou fémoro-tibial latéral). La douleur est mécanique à la mise en charge, à la montée et descente des escaliers, à la marche. Mais elle peut aussi évoluer par poussées congestives avec alors une douleur continue et un épanchement articulaire.
L'examen clinique va rechercher une déformation en genu valgum ou genu varum, un épanchement articulaire avec la présence d'un choc rotulien et du signe du flot, un kyste poplité dans le creux poplité et va mesurer les amplitudes articulaires. L'examen doit être déforréalisé de façon bilatéral et comparatif. La perte du recurvatum physiologique peut s'observer assez tôt mais l'installation d'un flessum s'observe dans les formes évoluées. La douleur à la palpation des interlignes fémoro-tibiales médiale et latérale permet d'orienter ver l'attente d'un ou de plusieurs compartiments, et les signes de Zohlen et du Rabot recherchent une atteinte fémoro-patellaire.
Le diagnostic est confirmé par la radiographie des genoux bilatérale en charge de face, de profil, en schuss et avec un défilé fémoro-patellaire à 30° sur laquelle on retrouvera les signes caractéristiques de l'arthrose.
Quels sont les traitements à proposer au patient en première intention ?
Traitement pharmacologique
- Paracétamol 1g si douleur.
- En cas de poussée : possibilité de proposer une cure courte d'AINS type NAPROXENE 550mg avec IPP si le patient ne présente pas de contre-indication.
Traitement non pharmacologique
- Port de semelles amortissantes neutres.
- Port d'une orthèse (genouillère) simple ou de décharge.
- Utilisation d'une canne portée du côté controlatéral.
- Kinésithérapie
Assouplissement des plans sous-pelviens.
Lutte contre le flessum.
Renforcement des muscles stabilisateurs de genou (ischiojambiers, quadriceps, gastrocnémiens).
Travail proprioceptif.
En fonction de la clinique et de la radiographie :
Renforcement des muscles valgisateurs de genou (biceps fémoral et tenseur du fascia lata) : si déformation en genu varum et prédominance de la gonarthrose fémoro-tibiale latérale ;
Ou
Renforcement des muscles varisateurs (muscles de la patte d'oie) si déformation en genu valgum et prédominance de la gonarthrose fémoro-tibiale médiale.
Si gonarthrose fémoro-patellaire : travail de recentrage de la rotule.
En cas d'échec sur le plan de la douleur de ces mesures initiales, vous pouvez alors prendre avis auprès d'un rhumatologue ou d'un MPR ostéoarticulaire afin de discuter de l'indication à une prise en charge infiltrative intra-articulaires :
- De corticoïdes si poussée congestive aiguë, qui sera associée à une ponction articulaire et analyse du liquide articulaire.
- D'acide hyaluronique en dehors de toute poussée congestive.
Et en cas d'échec du traitement infiltratif et un indice de Lequesne supérieure à 10 : vous pouvez prendre un avis chirurgical pour discuter de l'indication à la pose de prothèse totale ou unicompartimentale de genou.

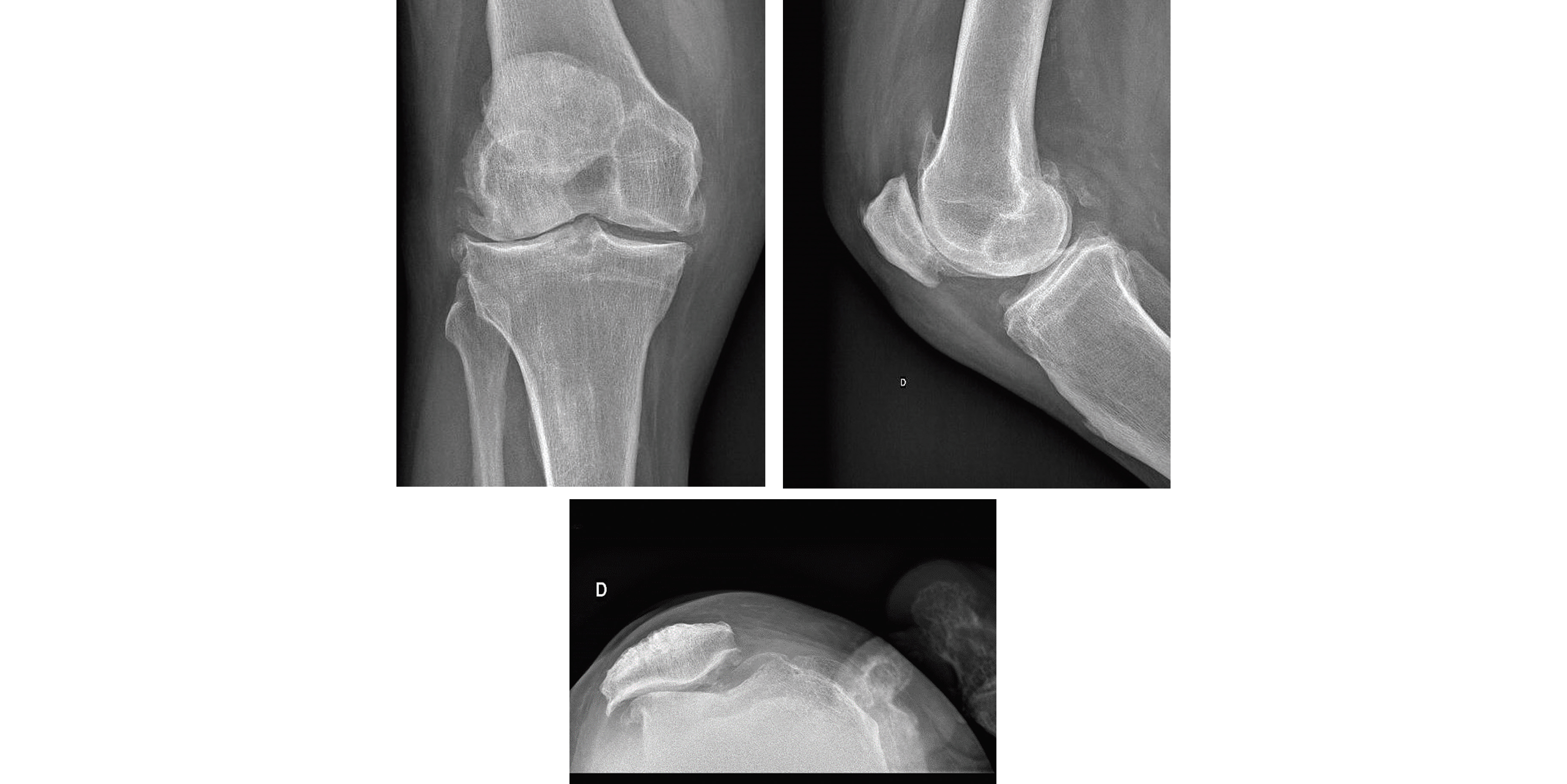
Radiographie d'une gonarthrose tricompartimentale de genou droit chez un patient de 75 ans, clichés de profil
(en haut à droite), déflilé fémoro-patellaire (à gauche), et de face (en bas à droite).
Douleur de hanche sur coxarthrose
La douleur de l'articulation coxo-fémorale est mécanique au pli de l'aine et peut irradier à la face antérieure de cuisse. On peut retrouver une douleur projetée au niveau du genou. L'examen clinique va retrouver une diminution des amplitudes articulaires de hanche voire une perte totale de l'extension. Cette raideur de l'articulation est responsable d'un trouble de la marche avec perte du pas postérieure. La douleur peut entraîner une boiterie d'esquive. Le signe de la clef est positif, il peut exister un clinostatisme et la mobilisation en flexion et rotations interne et externe de hanche reproduisent la douleur habituelle.
L'examen complémentaire à demander est une radiographie de bassin de face et de hanche bilatérale en charge de face, de profil et en faux Profil de Lequesne.
On y retrouvera les signes de l'arthrose : pincement articulaire, ostéo-condensation sous-chondrale, ostéophytose et géodes sous-chondrales.
Quels sont les traitements à proposer au patient en première intention ?
Traitement pharmacologique
- Paracétamol 1g si douleur.
- En cas de poussée : possibilité de proposer une cure courte d'AINS type NAPROXENE 550mg avec IPP si le patient ne présente pas de contre-indication.
Traitement non pharmacologique
- Port de semelles amortissantes neutres.
- Utilisation d'une canne portée du côté controlatéral.
- Kinésithérapie
- Étirement des plans sous-pelviens.
- Lutte contre le flessum de hanche.
- Entretien des amplitudes articulaires.
- Renforcement des muscles stabilisateurs de la hanche.
- Travail proprioceptif.
- Travail aérobie.
En cas d'échec sur le plan de la douleur de ces mesures initiales, vous pouvez alors prendre avis auprès d'un rhumatologue ou d'un MPR ostéoarticulaire afin de discuter de l'indication à une prise en charge infiltrative intra-articulaires :
- De corticoïdes si poussée congestive aiguë (confirmée par une échographie).
- D'acide hyaluronique en dehors de toute poussée congestive.
Et en cas d'échec du traitement infiltratif et indice de Lequesne supérieure à 10 : avis chirurgical pour discuter de l'indication à la pose d'une prothèse totale de hanche.
Diagnostics différentiels
La douleur inguinale ou de la face antérieure voire antérolatérale de cuisse de l'arthrose coxo-fémorale peut être confondu avec deux autres étiologies :
- La cruralgie d'origine rachidienne : le patient ne présente pas de boiterie d'esquive et l'examen des mobilités de la hanche ne reproduit pas la douleur habituelle. Il faut rechercher un signe de Leri en cas de doute, et une sonnette paravertébrale lombaire.
- Une tendinopathie du moyen fessier : le patient ne présente pas une boiterie d'esquive mais une boiterie de Trendelenburg. On retrouve à l'examen clinique la triade de la tendinopathie : douleur à la palpation sur le trajet tendineux, douleur à la contraction contrariée, douleur à l'étirement.
Chez les patients âgés, plusieurs pathologies peuvent être intriquées, l'examen clinique rigoureux doit alors orienter vers l'origine principale des douleurs qui sera à traiter en premier.
Douleur de la base du pouce sur rhizarthrose
La rhizarthrose ou arthrose trapézo-métacarpienne, est l'arthrose de la base du pouce, c'est une atteinte très fréquente et souvent bilatérale. Douleur, déformation et limitation fonctionnelle en sont les principales plaintes.
Aucun examen complémentaire n'est nécessaire au diagnostic, si des radiographies sont réalisées on retrouvera les signes radiologiques d'arthrose : pincement de l'interligne articulaire, géodes, condensation et ostéophytes.
Quels sont les traitements à proposer au patient en première intention ?
Traitement pharmacologique
- Paracétamol 1g si douleur.
- En cas de poussée : possibilité de proposer une cure courte d'AINS type NAPROXENE 550mg avec IPP si le patient ne présente pas de contre-indication ou de DICLOFENAC 1 % en gel en une application 2/ jours pendant 7 jours.
Traitement non pharmacologique
- Orthèse de repos de rhizarthrose : de série en pharmacie ou pouvant être réalisée sur mesure par les ergothérapeutes en milieu hospitaliser. Cette orthèse est à porter la nuit pour limiter les mouvements. Elle est prescrite à visée antalgique et pour limiter la déformation.
- Prescription de kinésithérapie pour : entretien des mobilités articulaires, travail d'ouverture de la première commissure pour limiter l'enraidissement, renforcement des muscles de la pince pouce-index.
En cas d'échec sur le plan de la douleur de ces mesures initiales, vous pouvez alors prendre avis auprès d'un rhumatologue ou d'un MPR ostéoarticulaire afin de discuter de l'indication à une prise en charge infiltrative intra-articulaire de corticoïdes ou de toxine botulique intra-articulaire.
Et en cas d'échec du traitement infiltratif : vous pouvez prendre un avis chirurgical pour discuter de l'indication à un geste avec plusieurs techniques possibles parmi lesquelles l'arthrodèse trapézo métacarpienne, la prothèse trapézo-métacarpienne et la trapézectomie.

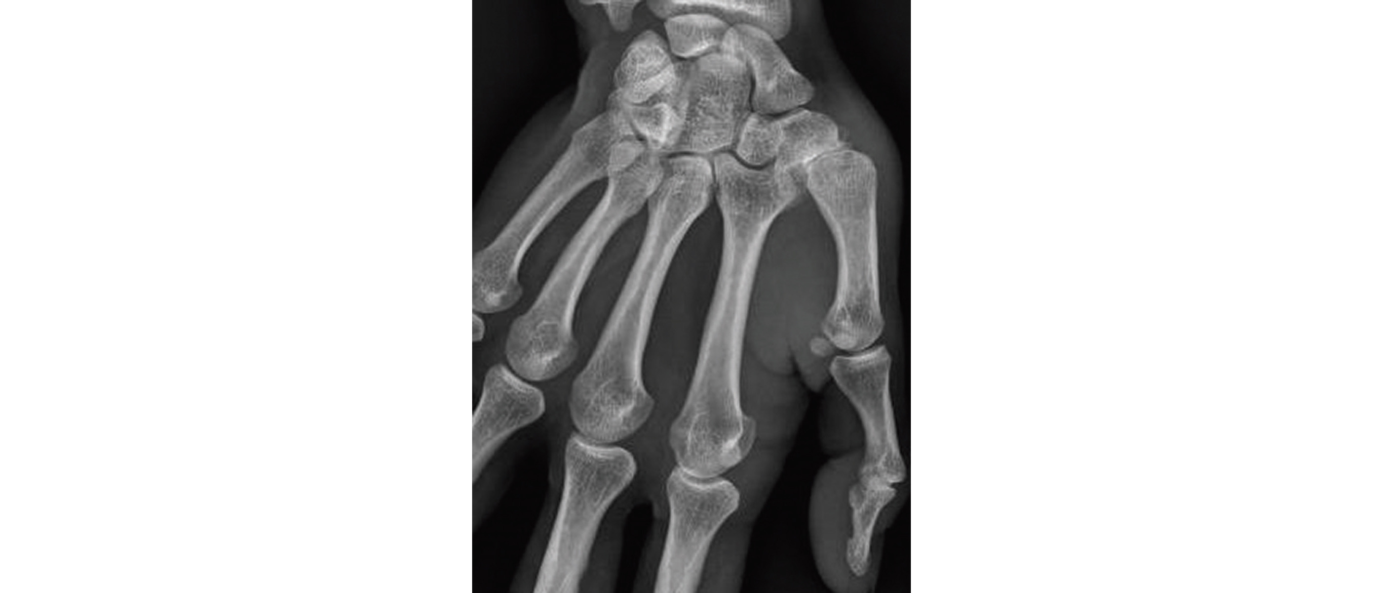
Arthrose trapézo-métacarpienne
chez une patiente de 70 ans.
Arthrose digitale
L'arthrose digitale (plus fréquente aux interphalangiennes distales qu'aux interphalangiennes proximales) est la plus courante des localisations arthrosiques avec une prédominance féminine, elle s'associe souvent aux autres localisations de l'arthrose notamment la gonarthrose.
Le plus souvent bilatérale mais la main dominante est davantage symptomatique. La plainte du patient est liée à la douleur, à la gêne fonctionnelle et esthétique en raison des déformations.
Le diagnostic est clinique avec douleur et déformation des interphalangiennes et pouvant être visibles des nodules d'Heberden aux IPD ou de Bouchard aux IPP. Les radiographies ne sont pas nécessaires au diagnostic.
Quels sont les traitements à proposer au patient en première intention ?
Traitement pharmacologique
- Paracétamol 1g si douleur.
- En cas de poussée : possibilité de proposer une cure courte d'AINS type NAPROXENE 550mg avec IPP si le patient ne présente pas de contre-indication ou de DICLOFENAC 1 % en gel en une application 2/ jours pendant 7 jours.
Traitement non pharmacologique
- Orthèse de repos de doigt antalgique et pour prévenir les déformations.
- Prescription de kinésithérapie pour entretien des mobilités articulaires par postures manuelles et auto-postures, renforcements des fléchisseurs /extenseurs des doigts et muscles intrinsèques, tractions manuelles des doigts dans l'axe.

Arthrose digitale chez un patient de 77 ans avec la radiographie
une arthrose prédominante aux interphalangiennes distales avec
présence de pincement articulaire, condensation de l'os
sous-chondral et érosions.
En cas d'échec sur le plan de la douleur de ces mesures initiales, vous pouvez alors prendre avis auprès d'un rhumatologue ou d'un MPR ostéoarticulaire afin de discuter de l'indication à une prise en charge infiltrative intra-articulaire de corticoïdes.
Docteur Marie-Martine LEFÈVRE-COLAU
Docteur Marie-Ombeline CHAGNAS-MARTIN
Service de Rééducation et de Réadaptation de l'Appareil
Locomoteur et des Pathologies du Rachis
Hôpital Cochin - AP-HP. Centre – Université Paris Cité
Pour l'association des jeunes gériatres

