
Introduction
La chirurgie de réparation pariétale, et notamment la cure d'éventration, est l'une des chirurgies les plus pratiquées par les chirurgiens viscéraux. Une éventration correspond à un défect pariétal au niveau d'une cicatrice chirurgicale. Selon la classification de l'European Hernia Society (EHS), une éventration est dite géante si le diamètre de son collet est supérieur à 10cm (W3)1. Le volume de l'éventration ainsi que la notion de perte de droit de cité semblent également pertinents dans la définition d'une éventration géante 2. On parle de perte de droit de cité lorsque le contenu de l'éventration est fixé par des adhérences, extériorisé de façon permanente, et non réductible dans la cavité abdominale 3. Quant au volume, il est communément admis qu'à partir d'un volume herniaire supérieur à 20 % du volume abdominal, une préparation spécifique devra être proposée 4.

Problématique et défis chirurgicaux
La réparation de ce type d'éventration expose le patient à un risque vital, en cas de syndrome du compartiment abdominal. Ce syndrome se définit comme une augmentation persistante et soutenue de la pression intraabdominale (PIA) entraînant une altération des fonctions cardiovasculaire, respiratoire, digestive, rénale et cérébrale 5. C'est donc un véritable challenge pour le chirurgien, qui doit réintégrer le contenu herniaire dans la cavité abdominale, tout en assurant une fermeture pariétale sans tension, et en évitant le risque de récidive.
Plusieurs techniques ont été décrites afin de permettre la fermeture pariétale chez ces patients présentant une volumineuse éventration. Nous allons ici nous intéresser à la technique consistant à insuffler un pneumopéritoine pré-opératoire, afin de faciliter l'expansion de la cavité abdominale.
Technique de Goni-Moreno
La technique de Goni Moreno6, introduite dans les années 1940, repose sur l'insufflation progressive d'air dans la cavité abdominale pour distendre la paroi, augmenter le volume intrapéritonéal et faciliter la réintégration des viscères 7. Elle permet également une préparation respiratoire progressive pour limiter le syndrome restrictif post-opératoire lié à l'augmentation de la PIA8.
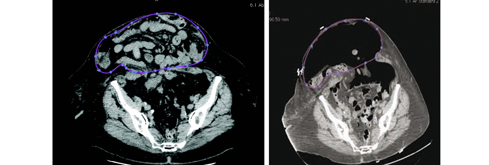
Concrètement, en période pré-opératoire, il est important d'apprécier le caractère réintégrable ou non de l'éventration. La clinique n'est pas toujours suffisante car certaines éventrations ne sont pas réintégrables spontanément en raison d'adhérences intra-sacculaires et leur volume dépasse les capacités de la cavité abdominale. Il va donc être indispensable de calculer correctement le volume extériorisé au sein de l'éventration. Pour cela, on va utiliser la tomodensitométrie abdominale avec volumétrie abdominale.

Figure 2 Analyse volume intra-péritonéal après insufflation d'un pneumopéritoine progressif VP = VAC + VIH
Le ratio du volume de l'éventration / volume péritonéal = 4802/(9278+4802) = 34 % C. Sabbagh et al., « Peritoneal Volume Is Predictive of Tension-Free Fascia Closure of Large Incisional Hernias with Loss of Domain: A Prospective Study », Hernia 15, no 5 (1 octobre 2011): 559-65, https://doi.org/10.1007/s10029-011-0832-y.
Historiquement, ces techniques de mesures volumétriques ont été décrites par Tanaka9, qui a donné une méthode simple et rapide de calculs volumétriques, mais qui ne donne qu'une approximation des volumes réels. En 2012, Sabbagh4 décrit une méthode plus précise mais radiologue dépendant. À Rouen, nous utilisons donc la méthode développée par Martre10, basée sur le logiciel Open Source 3D Slicer, avec possibilité de reconstructions 3D. Elle a l'avantage de pouvoir être réalisée par un chirurgien. Elle est rapide et précise, en évitant l'utilisation d'une formule, et permettant ainsi de s'adapter aux éventrations aux formes complexes.

Figure 3 Mesures volumétriques et reconstruction 3D d'une éventration géante avec perte de droit de cité. Ici, volume éventration (2053) / volume péritonéal (11259) = 0,209 = 20,9 % P. Martre et al., « New, Simple and Reliable Volumetric Calculation Technique in Incisional Hernias with Loss of Domain », Hernia 24, no 2 (avril 2020): 403-9
À noter également l'importance d'une préparation optimale des patients, notamment sur le plan cardio-respiratoire, avec une rééducation diaphragmatique active, la réalisation d'explorations fonctionnelles respiratoires (EFR), un sevrage tabagique et l'introduction d'une anticoagulation par HBPM préventives.
Ensuite, vient la période d'insufflation, qui nécessite une hospitalisation de 2 à 3 semaines pré-opératoire.
Sous certaines conditions, il est également possible d'organiser une hospitalisation en ambulatoire. Pour cela, on place un cathéter intra-péritonéal sous contrôle radiologique11, de façon écho-guidée, pour éviter les ponctions itératives à l'aiguille de Palmer et les risques associés (embolie gazeuse, hémorragie, plaie digestive…). La pose d'une chambre implantable en position intra-péritonéale, a également été abandonnée en raison d'un nombre non négligeable de migration, d'hématome et d'emphysème sous-cutané.
Il est recommandé d'insuffler environ 1L de pneumopéritoine tous 2-3 jours, avec de l'air ambiant et selon la tolérance du patient. L'objectif est d'insuffler entre 9 et 12L en fonction du volume souhaité, en tenant compte de la tolérance clinique, et notamment les douleurs.

Figure 6 Schéma temporel de l'insufflation d'un pneumopéritoine progressif pendant 2 à 3 semaines en pré-opératoires
Tout au long du séjour, une rééducation respiratoire doit être réalisée, avec kinésithérapie quotidienne et OPTIFLOW. Il est également recommandé le port d'une ceinture de contention abdominale, afin de limiter le passage de l'air au sein de l'éventration.
Une fois l'objectif de pneumopéritoine atteint, un bilan pré-opératoire est réalisé, comprenant de nouvelles EFR ainsi qu'un nouveau scanner abdomino-pelvien, permettant de calculer de nouveau la volumétrie.

Figure 6 Nouvelle mesure de volumétrie avant de réaliser le geste chirurgical.
Au moment de l'intervention, on doit réaliser une exsufflation progressive du pneumopéritoine, permettant la réduction progressive de la tension intra-péritonéale, et éviter tout risque de collapsus sur le plan cardio-vasculaire.

Figure 7 Exsufflation progressive du pneumopéritoine.
Résultats
Une étude rétrospective Grenobloise publiée en 201912 a rapporté un taux de succès 95 % en termes de fermeture pariétale sur les 162 patients inclus. Cependant, des complications ont été observées chez plus de 50 % des patients, parmi lesquelles les séromes, hématomes, abcès et nécroses cutanées étaient les plus fréquentes. Les complications majeures (classification de Clavien-Dindo ≥ III) étaient limitées à 16 %, avec une mortalité globale de 3 %, principalement liée à des complications respiratoires ou cardiovasculaires. Ces résultats confirment la faisabilité et l'efficacité de cette technique, en particulier chez des patients présentant des comorbidités importantes (obésité, insuffisance respiratoire chronique). En effet, 50 % présentaient une insuffisance respiratoire chronique et un score ASA de III. Un tiers des patients étaient obèses, avec un IMC moyen de 33 kg/m². Ces résultats sont en accord avec d'autres études de cohortes similaires13, 14.

Figure 8 Nécrose cutanée après cure d'éventration géante selon Goni-Moreno
Discussion
La technique de Goni Moreno est une solution précieuse pour la gestion des éventrations géantes avec perte de droit de cité, notamment en permettant une fermeture pariétale sans tension de manière efficace. Cependant, elle n'est pas sans risques. Les complications associées, telles que les séromes, hématomes, et nécroses cutanées, nécessitent une surveillance post-opératoire attentive.
Par ailleurs, la préparation pré-opératoire est essentielle afin de limiter les complications chez ces malades souvent fragiles et comorbides. La prise en charge doit être pluridisciplinaire, notamment respiratoire et cardiovasculaire. L'insufflation d'un pneumopéritoine pré-opératoire doit être vu comme un test thérapeutique à l'augmentation de la pression intra-abdominale, et il ne faut pas hésiter à faire demi-tour en cas de mauvaise tolérance clinique. Enfin, la réévaluation scanographique avec mesures des nouveaux volumes péritonéaux, nous parait essentielle, afin de réévaluer la réductibilité ou non de l'éventration avant d'effectuer le geste chirurgical.
Plus récemment, ont été décrites des techniques de réparation moins morbides, telle que l'injection de toxine botulique. Cette technique consiste à injecter de la toxine botulique dans les muscles de la paroi abdominale.
Cela permet de paralyser les muscles de la paroi, et donc de faciliter la fermeture, de façon mini-invasive. Il est également possible de combiner les deux techniques, afin de maximiser le taux de réussite, tout en réduisant les risques de complications15. Peuvent également s'y associer la technique de séparation des composants : soit antérieure en libérant aponévrose du muscle oblique externe (Ramirez)16 ou postérieure en libérant l'aponévrose du muscle transverse (TAR)17. Enfin, des résections digestives peuvent être nécessaires, notamment épiploïques ou colique droite, afin de pouvoir réintégrer le contenu digestif au sein de la cavité abdominale.
Conclusion
La technique de Goni Moreno représente une option précieuse pour le traitement des éventrations géantes avec perte de droit de cité. Les résultats montrent une haute efficacité en termes de fermeture pariétale, bien que le taux de complications reste significatif. La sélection des patients est donc cruciale et la préparation pré-opératoire primordiale. Cette dernière doit inclure une rééducation respiratoire, l'utilisation d'une ceinture de contention abdominale et une analyse scanographique minutieuse. Les avancées récentes et les recommandations actuelles mettent en avant l'importance de techniques atraumatiques et mini-invasives, comme l'injection de toxine botulique ou encore la séparation des composants. Ces techniques peuvent être utilisées en association avec la technique de Goni-Moreno pour améliorer les résultats cliniques.

Dr Lola DUHAMEL
Interne au CHU de Rouen

Dr Haitham KHALIL
Praticien Hospitalier au CHU de Rouen
Références
1. F. E. Muysoms et al., « Classification of primary and incisional abdominal wall hernias », Hernia 13, no 4 (août 2009): 407-14, https://doi.org/10.1007/s10029-009-0518-x.
2. Guillaume Passot et al., « Definition of giant ventral hernias: Development of standardization through a practice survey », International Journal of Surgery 28 (1 avril 2016): 136-40, https://doi.org/10.1016/j.ijsu.2016.01.097.
3. Rives, J., Chevrel, J. P., & Caix, M. (1987). Surgery of the abdominal wall. Hernias and surgery of the abdominal wall. Springer, Berlin, 116-143.
4. C. Sabbagh et al., « Peritoneal Volume Is Predictive of Tension-Free Fascia Closure of Large Incisional Hernias with Loss of Domain: A Prospective Study », Hernia 15, no 5 (1 octobre 2011): 559-65, https://doi.org/10.1007/s10029-011-0832-y.
5. Yvan Gasche, « Le syndrome du compartiment abdominal », Med Hyg 2462 (10 décembre 2003): 2430-35.
6. I. G. Moreno, « Chronic Eventrations and Large Hernias; Preoperative Treatment by Progressive Pneumoperitomeum; Original Procedure », Surgery 22, no 6 (décembre 1947): 945-53.
7. F. Dumont et al., « Progressive Pneumoperitoneum Increases the Length of Abdominal Muscles », Hernia: The Journal of Hernias and Abdominal Wall Surgery 13, no 2 (avril 2009): 183-87, https://doi.org/10.1007/s10029-008-0436-3.
8. C. Sabbagh et al., « Progressive Preoperative Pneumoperitoneum Preparation (the Goni Moreno Protocol) Prior to Large Incisional Hernia Surgery: Volumetric, Respiratory and Clinical Impacts. A Prospective Study », Hernia: The Journal of Hernias and Abdominal Wall Surgery 16, no 1 (février 2012): 33-40, https://doi.org/10.1007/s10029-011 0849-2.
9. E. Y. Tanaka et al., « A Computerized Tomography Scan Method for Calculating the Hernia Sac and Abdominal Cavity Volume in Complex Large Incisional Hernia with Loss of Domain », Hernia: The Journal of Hernias and Abdominal Wall Surgery 14, no 1 (février 2010): 63-69, https://doi.org/10.1007/s10029-009-0560-8.
10. P. Martre et al., « New, Simple and Reliable Volumetric Calculation Technique in Incisional Hernias with Loss of Domain », Hernia 24, no 2 (avril 2020): 403-9, https://doi.org/10.1007/s10029-019-01990-0.
11. K. Allart, C. Sabbagh, et J. -M. Regimbeau, « Pose d'un cathéter intrapéritonéal pour pneumopéritoine progressif thérapeutique pour éventration ou hernie avec perte du droit de domicile (technique de Goni-Moreno) », Journal de Chirurgie Viscérale 157, no 4 (1 août 2020): 340-46, https://doi.org/10.1016/j.jchirv.2020.03.014.
12. A. Mancini et al., « Goni Moreno Progressive Preoperative Pneumoperitoneum for Giant Hernias: A Monocentric Retrospective Study of 162 Patients », Hernia 24, no 3 (1 juin 2020): 545-50, https://doi.org/10.1007/s10029-019 02113-5.
13. J. C. Mayagoitia et al., « Preoperative Progressive Pneumoperitoneum in Patients with Abdominal-Wall Hernias », Hernia 10, no 3 (juin 2006): 213-17, https://doi.org/10.1007/s10029-005-0040-8.
14. J. Bueno-Lledó et al., « Preoperative Progressive Pneumoperitoneum and Botulinum Toxin Type A in Patients with Large Incisional Hernia », Hernia 21, no 2 (1 avril 2017): 233-43, https://doi.org/10.1007/s10029-017-1582-2.
15. José Bueno-Lledó et al., « Preoperative Preparation of «loss of Domain» Hernia. Progressive Pneumoperitoneum and Botulinum Toxin Type A », Cirugia Espanola 95, no 5 (mai 2017): 245-53, https://doi.org/10.1016/j.ciresp.2017.04.006.
16. Lior Heller, Colton H. McNichols, et Oscar M. Ramirez, « Component Separations », Seminars in Plastic Surgery 26, no 1 (février 2012): 25-28, https://doi.org/10.1055/s-0032-1302462.
17. Riccardo Gazzola et al., « Posterior Component Separation with Transversus Abdominis Release: Technique, Utility, and Outcomes in Complex Abdominal Wall Reconstruction », Plastic & Reconstructive Surgery 138, no 3 (septembre 2016): 562e-63, https://doi.org/10.1097/PRS.0000000000002453.

