
Description de l'IRM pelvienne
• Multiples lésions kystiques confluentes en hypersignal T2, hyposignal T1 avec des parois fines se rehaussant après injection de produit de contraste.
• De siège péritonéal : accolés aux feuillets péritonéaux, dans le cul-de-sac de douglas, sur le dôme vésical, en périphérie des ovaires, …
• Épaississement et prise de contraste des feuillets péritonéaux, épanchement péritonéal.
Par ailleurs, pas d'anomalie utérine ou des anses digestives visibles.
Un diagnostic est fortement suspecté, une imagerie hépatique doit être réalisée.

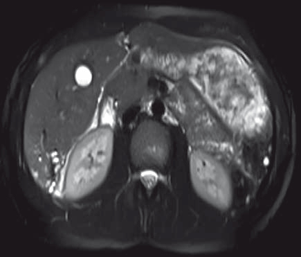
Figure 5 : IRM hépatique, coupe axiale T2 avec saturation de la graisse

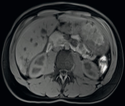
Figure 6 : Coupe axiale T1 avec saturation de la graisse

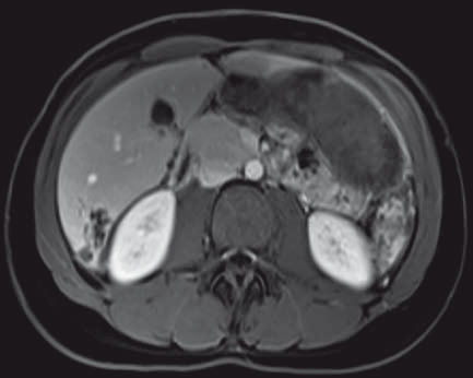
Figure 7 : Coupe axiale T1 avec saturation de la graisse après injection IV de chélates de gadolinium
Description de l'IRM hépatique
• Multiples petits kystes confluents en hypersignal T2, hyposignal T1, de paroi fine se rehaussant après injection de produit de contraste.
• De siège intra-hépatique (segment VI), sur foie sain.
Diagnostic : Échinococcose alvéolaire hépatique avec localisations péritonéales (par rupture capsulaire spontanée ou post traumatique)
Définition et physiopathologie
Maladie parasitaire, d'évolution pseudotumorale hépatotrope avec métastases parasitaires possibles.
L'Homme se contamine par contact direct avec un renard ou indirect par ingestion d'aliments souillés par des déjections, est devient un hôte intermédiaire « accidentel », une impasse pour le cycle parasitaire.

Figure 8 : Cycle parasitaire d'Echinococcus multilocularis
Épidémiologie
En France, environ 30 cas annuels rapportés. Principalement, en Bourgogne Franche-Comté, Rhône Alpes et Auvergne (zones d'endémie).
Diagnostic
• Clinique : longtemps asymptomatique. Douleurs de l'hypochondre droit, ictère, fièvre ou urticaire lors des ruptures de kystes dans les voies biliaires, ou la cavité péritonéale…
• Imagerie.
• Sérologies positives (2 tests).
• Parasite trouvé en histopathologie et/ou PCR.
Aspect en imagerie
Aspect général : lésion hépatique infiltrante, mixte (solide et kystique), pouvant contenir des calcifications, souvent sous forme d'une cavité nécrotique centrale avec micro-kystes périphériques.
Le diagnostic doit être évoqué sur une échographie ou un scanner, réalisé en cas de suspicion clinique, mais est souvent fortuit.
L'IRM permet la caractérisation lésionnelle, par la classification de Kodama sur les séquences T2 :
• Type 1 : Multiples petits kystes sans composante solide.
• Type 2 : Multiples petits kystes avec composante solide.
• Type 3 : Composante solide avec gros kystes irréguliers et multiples petits kystes.
• Type 4 : Composante solide sans kyste.
• Type 5 : Gros kystes sans composante solide.

Figure 9 : Classification de Kodama
Cette classification est bien corrélée au TEP-TDM FDG : Les types 1 et 2 ont toujours une activité métabolique. Les types 4 et 5 n'ont jamais d'activité métabolique.
Bilan d'extension par un scanner thoraco-abdomino-pelvien à la recherche de lésions de contiguïté et à distance, de même sémiologie que dans le foie et IRM cérébrale.
Traitement
Prise en charge multidisciplinaire.
Albendazole au long cours.
Chirurgie (résection hépatique partielle, transplantation hépatique...).

