
Pseudomyxome péritonéal ou maladie gélatineuse du péritoine
Le pseudomyxome péritonéal est une entité rare définie par l'accumulation d'une grande quantité de mucine dans la cavité péritonéale, secondaire à la rupture d’une lésion mucineuse. L’origine de cette lésion mucineuse est le plus souvent appendiculaire mais peut être également ovarienne, recto-sigmoïdienne et colique, pancréatique et exceptionnellement gastrique.
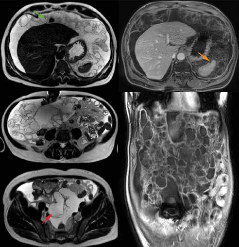
Signes visibles en TDM :
• Encoches sur les organes pleins : scalloping hépatique ou splénique : Flèche orange
• Ascite mucineuse / gélatineuse libre et cloisonnée (prédominant dans les zones de stagnation péritonéales à faible péristaltisme : cul de sac de Douglass, coupoles diaphragmatiques, gouttières pariéto-coliques et grand épiploon)
• Calcifications curvilignes péritonéales : Flèches bleues
• Nodules péritonéaux tissulaires +/- calcifiés dans les formes malignes
• Compartimentation centrale des anses grêles refoulées par la mucine
• Visibilité du ligament suspenseur du foie (foie décollé de la paroi antérieure par prolifération de mucine) : Flèche verte
• Visualisation de la lésion primitive (Dans notre cas : mucocèle appendiculaire : appendice volumineux, hypodense, piriforme avec calcifications pariétales) : Flèches rouges
Le pronostic du pseudo-myxome est directement lié au grade histologique et à l’agressivité de la tumeur primitive :
1. L’adénomucinose péritonéale disséminée (AMPD) (Adénome mucineux) : Bon pronostic, sans potentiel métatastique. Survie > 80 % à 10 ans.
2. La carcinomatose mucineuse péritonéale (CMP) (Adénocarcinome mucineux) : Mauvais pronostic avec potentiel métastatique élevé notamment au niveau pulmonaire et hépatique. Survie < 10 % à 3 ans.
3. La carcinomatose mucineuse péritonéale avec aspects intermédiaires (CMP-I) (quelques zones d’adénocarcinome mucineux bien différenciées) ou avec aspects discordants (CMP-D) (adénome mucineux en dysplasie de haut grade) : Pronostic intermédiaire. Survie < 60 % à 3 ans.
Traitement et prise en charge :
• Chirurgie de réduction péritonéale radicale maximale.
• Chimio-hyperthermie intra-péritonéale peropératoire (CHIP) : action conjointe et potentialisatrice de la chaleur et de la chimiothérapie (5-FU, cisplatine...) pour le traitement des résidus infra millimétriques péritonéaux. Intérêt de l’imagerie et notamment de l’IRM péritonéale pour dresser un état des lieux de la maladie péritonéale et dépister les lésions péritonéales inextirpables à la chirurgie (de par leur taille ou leur localisation) et les atteintes extra-péritonéales (métastatiques).
Article paru dans la revue “Union Nationale des Internes et Jeunes Radiologues” / UNIR N°34

