
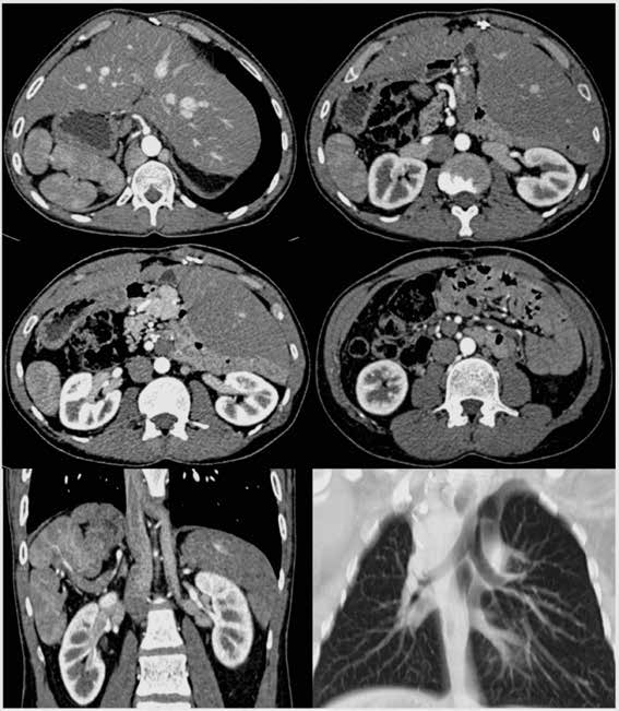
Homme de 30 ans. Bilan pré-opératoire d’une cardiopathie congénitale. Pas d’autre antécédent connu. Aucune symptomatologie abdominale. Sur ces images TDM acquises au temps artériel après injection de produit de contraste iodé (figure 1), vous retenez le(s) diagnostic(s) de :
A - Mésentère commun complet.
B - Polysplénie.
C - Situs inversus complet.
D - Situs solitus.
E - Syndrome d’hétérotaxie.
Solution Hotcase Radeos
Le diagnostic est celui d’un situs inversus incomplet (aussi appelé situs ambigus) dans le cadre d’un syndrome d’hétérotaxie avec polysplénie : les réponses A, B, E sont correctes.
Deux observations écartent l’hypothèse d’un situs inversus complet : la position habituelle du couple aorte - VCI et l’isomérisme (symétrie droite/gauche) de l’arbre trachéo-bronchique. Le situs solitus correspond à une répartition normale des structures anatomiques.
Le terme hétérotaxie signifie « rangement » (taxie) « différent » (hétéro). Embryologiquement, il s’agit d’un placement anormal total ou partiel des organes par rapport à la ligne médiane, dont la prévalence est estimée entre 1 et 9/100 000. Il existe de multiples possibilités d’inversions droite/gauche ou position médiane des organes qui seront décrites au cas par cas.
Deux sous-groupes sont à dissocier dans le syndrome d’hétérotaxie : avec asplénie (malformations cardiaques plus sévères) ou polysplénie. Le pronostic est surtout lié aux malformations cardiaques. Dans le cas d’un syndrome d’hétérotaxie avec polysplénie : duplication possible des organes situés à gauche et absence possible d’organes situés à droite (inversement dans la forme avec asplénie).
Analyse sémiologique du cas présenté
- Arbre trachéo-bronchique : isomérisme avec « deux poumons gauches » (bilobés, absence de la division précoce de la bronche lobaire supérieure droite).
- Foie : inversé et médian, avec un « lobe gauche » à droite et « un lobe droit » à gauche.
- Vésicule biliaire : médiane.
- Pancréas : inversé, court (ou tronqué).
- Rate : inversée avec polysplénie.
- Dextrogastrie.
- Tube digestif bas : colon à droite, grêle à gauche, mésentère commun complet inversé.
- Aorte : à gauche, position normale.
- Veine cave inférieure : position normale à droite, mais agénésie segmentaire en rétrohépatique, avec continuation hémi-azygos.
Autres atteintes possibles (non présentes ici)
- Tube digestif : atrésie oesophagienne / duplication gastrique.
- Hépato-bilio-pancréatique : agénésie de la vésicule / atrésie des voies biliaires / isomérisme hépatique gauche.
- Cardio-vasculaire : veine porte préduodénale / dextrocardie.
- Génito-urinaire : agénésie rénale / uretères multiples / utérus bicorne.
Quand les internes en radiologie se posent la question de ce qui pourrait enacer leur exercice futur, la première chose qui leur vient à l’esprit tient en deux lettres : IA. Pourtant, même s’il est certain que l’intelligence artificielle va provoquer un changement majeur dans la façon d’exercer les métiers de diagnostic en imagerie, ce n’est pas elle qui vient directement menacer notre profession, dans sa structuration et dans les soins apportés aux patients.
La transition générationnelle : l’indispensable investissement des jeunes radiologues dans des structures construites, détenues et gérées par les médecins est un point essentiel pour que les futurs radiologues gardent le contrôle de leur avenir.
Alain Guillemot, Directeur de VIDI (nouveau partenaire de l’UNIR), présente ici ces problématiques et les réponses que VIDI propose.
Article paru dans la revue “Union Nationale des Internes et Jeunes Radiologues” / UNIR N°35

